Tụt lợi (tụt nướu) là một trong những dấu hiệu sớm của bệnh nha chu, xảy ra khi mô nướu co rút làm lộ chân răng và tăng nguy cơ ê buốt, sâu răng hoặc mất răng nếu không được kiểm soát. Bên cạnh điều trị chuyên khoa tại nha khoa, việc sử dụng nước súc miệng phù hợp có thể hỗ trợ giảm viêm tại chỗ. Qua đó góp phần làm chậm tiến triển tụt lợi và giúp mô nướu ổn định hơn theo thời gian khi được kiểm soát viêm và chăm sóc đúng cách.
Bài viết này tổng hợp các thông tin khoa học cập nhật về nguyên nhân, tác động, cơ chế hỗ trợ của nước súc miệng trị tụt lợi. Cùng hướng dẫn lựa chọn, sử dụng và các biện pháp chăm sóc răng miệng đã được chứng thực giúp bảo vệ nướu hiệu quả.

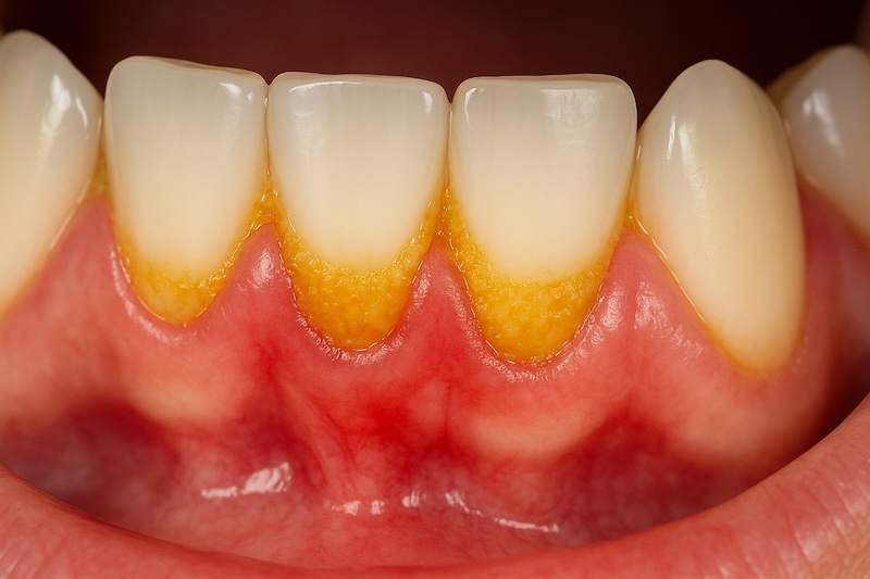
Tụt lợi là gì – nguyên nhân gây ra
Tụt lợi (gums recession) hay còn gọi là tụt nướu răng, là tình trạng mô lợi bao quanh cổ răng bị co rút hoặc di chuyển dần về phía cuống răng, khiến một phần chân răng lộ ra bên ngoài. Hiện tượng này có thể xảy ra ở một răng hoặc lan rộng toàn hàm, là dấu hiệu cảnh báo tình trạng mất bám dính giữa lợi và chân răng, thường liên quan đến tình trạng viêm nha chu kéo dài.
1. Cơ chế bệnh sinh
Bình thường, mô lợi bám chặt vào cổ răng nhờ các sợi collagen của dây chằng nha chu. Khi vi khuẩn trong mảng bám (biofilm) tích tụ quanh viền nướu, phản ứng viêm được kích hoạt. Phản ứng viêm kéo dài sẽ làm tổn thương collagen quanh răng và thúc đẩy quá trình tiêu xương ổ răng, từ đó làm suy yếu khả năng bám dính giữa nướu và chân răng. Hậu quả là tình trạng mất bám dính lợi (loss of attachment), khiến mô nướu mỏng dần, dễ tụt và giảm khả năng bảo vệ phần chân răng lộ ra.
Khi chân răng bị lộ, lớp ngà răng (dentin) không được men bao phủ dễ bị mòn, ê buốt, đồng thời tạo điều kiện cho vi khuẩn xâm nhập gây viêm nha chu nặng hơn.

2. Nguyên nhân thường gặp
a. Bệnh lý răng miệng
- Viêm lợi và viêm nha chu: Là nguyên nhân phổ biến nhất. Vi khuẩn trong mảng bám tiết độc tố phá hủy mô liên kết quanh răng, làm lợi tách khỏi chân răng.
- Cao răng: Khi không được làm sạch định kỳ, cao răng tích tụ ở cổ răng, duy trì ổ biofilm dưới viền nướu, khiến viêm kéo dài và dẫn đến tụt lợi.
b. Vệ sinh răng miệng không đúng cách
- Chải răng quá mạnh hoặc sai hướng: Dùng bàn chải lông cứng hoặc chải ngang kéo dài có thể gây mòn cổ răng cơ học và tổn thương mô lợi.
- Vệ sinh răng miệng không đúng cách hoặc không đều đặn: Khi mảng bám không được loại bỏ triệt để, phản ứng viêm kéo dài có thể dẫn đến phá hủy mô nâng đỡ răng.
c. Yếu tố cơ học và thói quen xấu
- Nghiến răng, cắn chặt răng: Tạo áp lực lên dây chằng nha chu, gây vi chấn thương mạn tính và tụt lợi.
- Dụng cụ xỉa răng hoặc vật cứng: Dễ làm rách mô lợi liên tục tại cùng một vị trí.
- Chấn thương: Tác động mạnh hoặc tai nạn vùng miệng có thể gây tổn thương mô nướu cục bộ.
d. Các yếu tố toàn thân và nội tiết
- Thay đổi nội tiết tố: Giai đoạn dậy thì, thai kỳ hoặc mãn kinh làm tăng lưu lượng máu nướu, khiến mô lợi nhạy cảm và dễ tổn thương.
- Tuổi tác: Từ 40 tuổi trở lên, quá trình thoái hóa mô và giảm sản xuất collagen làm nướu mỏng, dễ tụt.
- Yếu tố di truyền: Theo một số nghiên cứu dịch tễ, một số người có cấu trúc nướu mỏng bẩm sinh, khiến mô lợi dễ bị tổn thương và tụt theo thời gian ngay cả khi vệ sinh răng miệng tương đối tốt.
- Hút thuốc lá: Giảm lưu lượng máu tại mô lợi, làm chậm hồi phục và tăng nguy cơ viêm nha chu.
e. Sai lệch khớp cắn hoặc vị trí răng
- Răng mọc lệch, chen chúc hoặc sai hướng tạo điểm tỳ bất thường, gây ma sát cơ học giữa răng và mô lợi, từ đó làm tăng nguy cơ tụt lợi khu trú theo thời gian.

Tác động của tụt lợi tới sức khỏe răng miệng
Mặc dù tụt lợi không gây nguy hiểm ngay lập tức, nhưng đây là dấu hiệu cho thấy mô nướu quanh răng đang mất dần khả năng bám dính, thường liên quan đến tiến triển của bệnh nha chu mạn tính. Nếu không được kiểm soát, tình trạng này có thể dẫn đến tổn thương không hồi phục ở mô nâng đỡ răng và ảnh hưởng rõ rệt đến chất lượng sống.
1. Giảm thẩm mỹ vùng miệng
Tụt lợi khiến chân răng bị lộ, làm răng trông dài và không đều, tạo cảm giác hở kẽ răng và đường viền nướu không cân xứng, đặc biệt dễ nhận thấy ở vùng răng cửa – nơi ảnh hưởng trực tiếp đến thẩm mỹ nụ cười.
Ngoài ra, phần ngà răng bị lộ thường có màu sẫm hơn men, khiến màu răng trở nên không đồng nhất.
2. Tăng nhạy cảm và ê buốt răng
Khi chân răng bị lộ, lớp ngà răng không còn được men bảo vệ, khiến các kích thích từ nóng, lạnh, chua hoặc ngọt dễ truyền sâu vào bên trong răng, gây ê buốt rõ rệt.
Kích thích kéo dài cũng có thể dẫn tới viêm tủy hồi phục hoặc viêm tủy mạn ở răng bị ảnh hưởng.
3. Tăng nguy cơ nhiễm trùng và bệnh nha chu
Khi mô lợi co rút, khoảng trống giữa răng và nướu sâu hơn, tạo điều kiện cho mảng bám và vi khuẩn tích tụ lâu ngày.
Nếu không được làm sạch, khu vực này dễ trở thành ổ viêm mạn tính, dẫn đến hôi miệng, viêm nha chu tiến triển, tiêu xương ổ răng và tăng nguy cơ sâu cổ răng.

4. Tổn thương cấu trúc và nguy cơ mất răng
Ở giai đoạn muộn, tụt lợi thường đi kèm tiêu xương ổ răng và tình trạng lung lay răng. Khi mô lợi và xương không còn nâng đỡ đầy đủ, lực nhai tác động trực tiếp lên cổ răng, gây vi chấn thương kéo dài.
Hậu quả là răng yếu dần, mất bám dính vĩnh viễn và có nguy cơ mất răng sớm nếu không can thiệp kịp thời.
Vai trò hỗ trợ của nước súc miệng trị tụt lợi
Mặc dù nước súc miệng không thể làm mô lợi tái sinh hoặc đưa nướu trở lại vị trí ban đầu, nhưng đây là biện pháp hỗ trợ quan trọng giúp kiểm soát viêm, làm chậm tiến triển tụt lợi và giảm nguy cơ biến chứng nha chu. Việc sử dụng nước súc miệng kháng khuẩn giúp duy trì cân bằng vi sinh, giảm viêm và củng cố hàng rào bảo vệ mô lợi.
1. Kiểm soát vi khuẩn và mảng bám dưới nướu
Tụt lợi thường đi kèm tình trạng vi khuẩn tích tụ nhiều hơn ở vùng nướu và kẽ răng sâu, đặc biệt tại những vị trí khó làm sạch bằng bàn chải thông thường.
Nước súc miệng chứa các hoạt chất như Chlorhexidine digluconate (CHX), Cetylpyridinium chloride (CPC), Zinc lactate hoặc tinh dầu phenolic có khả năng:
- Giúp giảm số lượng vi khuẩn và mảng bám tại những vùng kẽ sâu quanh nướu
- Có thể giúp giảm chỉ số mảng bám và viêm lợi khi sử dụng đều đặn trong ngắn hạn.
Điều này góp phần ngăn chặn sự lan rộng của viêm nha chu – nguyên nhân chính dẫn đến tụt lợi tiến triển.

2. Giảm viêm và cải thiện mô lợi
Một số công thức nước súc miệng có chứa hoạt chất kháng viêm và hỗ trợ tái biểu mô hoá, giúp vùng lợi tổn thương ổn định hơn:
- Benzydamine HCl, Aloe vera, Panthenol (Pro-vitamin B5) có tác dụng làm dịu, giảm sưng đỏ và đau nướu.
- Nano bạc (AgNPs), Acid tannic, Propolis giúp kháng khuẩn, chống oxy hóa và thúc đẩy tái biểu mô hóa vùng lợi bị viêm.
Những hoạt chất này giúp làm dịu tình trạng viêm kéo dài, hỗ trợ mô lợi ổn định hơn, từ đó góp phần hạn chế tổn thương mô nâng đỡ răng và làm chậm tiến triển tụt lợi.
3. Hỗ trợ giảm ê buốt và bảo vệ chân răng
Sau khi tụt lợi, ngà răng bị lộ, gây ra hiện tượng ê buốt.
Một số dung dịch súc miệng có chứa Fluoride (NaF 0.05%) hoặc Arginine giúp:
- Hỗ trợ bịt tắc bề mặt ống ngà và tăng tái khoáng bề mặt, qua đó giảm cảm giác ê buốt.
- Tái khoáng men răng, giúp củng cố cổ răng và bảo vệ vùng chân răng khỏi acid và vi khuẩn.
4. Duy trì môi trường sinh học lành mạnh trong khoang miệng
Việc súc miệng thường xuyên giúp duy trì độ pH trung tính, tăng lưu thông nước bọt và hạn chế vi sinh vật gây viêm tái lập biofilm mới.
Các công thức dịu nhẹ chứa xylitol, glycerin, zinc citrate giúp cân bằng vi sinh, giảm hôi miệng và mang lại cảm giác sạch khoang miệng lâu dài.
Việc sử dụng đều đặn 1–2 lần mỗi ngày có thể hỗ trợ giảm nguy cơ viêm nướu tái phát, góp phần duy trì môi trường khoang miệng ổn định và bảo vệ mô nướu lâu dài.
Cách chọn nước súc miệng hỗ trợ tụt lợi
Việc lựa chọn nước súc miệng hỗ trợ người bị tụt lợi cần dựa trên cơ chế hình thành của tình trạng này, trong đó vai trò trung tâm là viêm nha chu, mất bám dính mô lợi và tổn thương mô nâng đỡ răng.
Mục tiêu của dung dịch súc miệng không phải là tái tạo mô nướu, mà là kiểm soát vi khuẩn, giảm phản ứng viêm, bảo vệ bề mặt chân răng và hạn chế tiến triển tụt lợi.
1. Nhóm hoạt chất kháng khuẩn
Các dung dịch chứa Chlorhexidine digluconate (CHX) hoặc Cetylpyridinium chloride (CPC) được sử dụng phổ biến trong lâm sàng để kiểm soát mảng bám và viêm nướu – yếu tố chính gây tiêu mô nâng đỡ răng.
- Chlorhexidine digluconate (0,12–0,2%) có khả năng gắn kết với màng tế bào vi khuẩn và protein nước bọt, tạo hiệu ứng kháng khuẩn kéo dài trên bề mặt răng và mô nướu. Hoạt chất này giúp giảm đáng kể chỉ số mảng bám và viêm lợi, song thường chỉ được áp dụng ngắn hạn trong giai đoạn điều trị nha chu tích cực.
- Cetylpyridinium chloride (0,05%) có phổ kháng khuẩn tương đối rộng, ít gây đổi màu răng, có thể sử dụng trong giai đoạn duy trì lâu dài để hỗ trợ kiểm soát vi sinh vùng nướu.
Các nghiên cứu lâm sàng cho thấy hai hoạt chất này giúp giảm mật độ vi khuẩn vùng nướu và hỗ trợ kiểm soát viêm sau các can thiệp nha chu như cạo vôi răng.

2. Nhóm chiết xuất tự nhiên có đặc tính kháng viêm – chống oxy hóa
Một số dung dịch súc miệng có bổ sung thành phần có nguồn gốc sinh học tự nhiên như:
- Propolis (keo ong), Acid tannic, trà xanh (Epigallocatechin gallate – EGCG), hoặc cúc La Mã (Chamomile extract) – có tác dụng chống oxy hóa, giảm viêm mô mềm và hỗ trợ tái biểu mô hóa vùng lợi tổn thương.
- Tinh dầu thực vật như bạc hà (Menthol), bạch đàn (Eucalyptol), đinh hương (Eugenol) hay dầu cây trà (Tea tree oil) được ghi nhận có khả năng ức chế sự phát triển và bám dính của một số vi khuẩn liên quan đến bệnh nha chu, trong đó có Porphyromonas gingivalis.
Nhóm hoạt chất này thường được sử dụng trong giai đoạn duy trì hoặc ở bệnh nhân có niêm mạc nhạy cảm, giúp cân bằng hệ vi sinh và cải thiện cảm giác dễ chịu sau súc miệng.
3. Nhóm bảo vệ ngà răng và giảm nhạy cảm cổ răng
Ở người bị tụt lợi, vùng cổ răng lộ ra khỏi mô nướu nên dễ xảy ra hiện tượng quá cảm ngà (răng nhạy cảm, răng ê buốt).
Các dung dịch súc miệng chứa Sodium Fluoride (NaF 0,05%) hoặc Arginine có tác dụng:
- Giúp tái khoáng hóa bề mặt men răng và bịt kín các ống ngà, qua đó giảm phản ứng ê buốt.
- Giúp bề mặt răng và vùng cổ răng bền vững hơn trước tác động của acid và vi khuẩn, hỗ trợ phòng ngừa sâu răng thứ phát quanh cổ răng.
- Các sản phẩm có bổ sung Panthenol (Pro-vitamin B5) hoặc Aloe vera còn góp phần duy trì độ ẩm, giảm kích ứng vùng nướu hở.
4. Thành phần dung môi và độ an toàn sinh học
Đối với người có nướu nhạy cảm hoặc viêm lợi mạn tính, dung dịch không chứa cồn (alcohol-free) được xem là phù hợp hơn, do cồn có thể làm khô niêm mạc và tăng cảm giác rát sau khi súc.
Công thức có pH trung tính (6.5–7.5) giúp bảo vệ men răng và hạn chế xói mòn cổ răng, đặc biệt khi sử dụng hằng ngày.
Các yếu tố như nồng độ hoạt chất, độ ổn định công thức và tiêu chuẩn sản xuất (FDA, CE hoặc các chứng nhận tương đương) cũng cần được cân nhắc khi lựa chọn sản phẩm.

5. Tổng hợp các yếu tố nên cân nhắc khi chọn nước súc miệng hỗ trợ tụt lợi
| Tiêu chí đánh giá | Nhóm hoạt chất liên quan | Mục đích chính | Đặc điểm sử dụng |
| Kiểm soát mảng bám, viêm nướu | Chlorhexidine, CPC | Giảm vi khuẩn, ngăn viêm nha chu tiến triển | CHX dùng ngắn hạn; CPC duy trì lâu dài |
| Giảm viêm và dưỡng mô nướu | Propolis, Acid tannic, Aloe vera, EGCG | Giảm sưng, oxy hóa mô, cân bằng vi sinh | Phù hợp người có nướu nhạy cảm |
| Giảm ê buốt và bảo vệ cổ răng | Sodium Fluoride, Arginine | Tái khoáng, bịt ống ngà | Dùng hằng ngày, pH trung tính |
| Dung môi và khả năng dung nạp | Không cồn, xylitol, panthenol | Giữ ẩm, giảm kích ứng | Phù hợp sử dụng lâu (Khi không cồn, pH trung tính) |

Các nhóm nước súc miệng trị tụt lợi hỗ trợ theo vai trò tác dụng
Tụt lợi (gingival recession) là hậu quả của quá trình viêm nha chu, chấn thương cơ học hoặc lão hóa mô nâng đỡ răng. Việc sử dụng nước súc miệng trong chăm sóc người bị tụt lợi giúp kiểm soát vi sinh vật, duy trì vệ sinh vùng cổ răng lộ, giảm kích ứng và hỗ trợ ổn định mô nướu.
Dưới đây là các nhóm dung dịch súc miệng được sử dụng phổ biến dựa trên vai trò cơ chế và mức độ hỗ trợ điều trị.
1. Nhóm sát khuẩn và kiểm soát vi khuẩn vùng cổ răng
Mục tiêu: Giảm mật độ vi khuẩn gây viêm nha chu và giảm nguy cơ viêm nha chu tiến triển tại vùng tụt lợi.
Hoạt chất chính:
- Chlorhexidine digluconate (CHX 0,12–0,2%) – kháng khuẩn mạnh thường dùng trong kiểm soát mảng bám lâm sàng.
- Cetylpyridinium chloride (CPC 0,05%) – phổ kháng khuẩn rộng trong lâm sàng, phù hợp dùng duy trì.
Ví dụ sản phẩm:
- Kin Gingival Mouthwash (CHX 0,12% + Fluoride 0,05%) – dùng trong giai đoạn viêm lợi cấp hoặc sau khi cạo vôi răng.
- Colgate Plax Freshmint Splash (CPC + NaF) – kiểm soát vi khuẩn mảng bám, thích hợp dùng dài hạn.
Lưu ý:
- Dùng ngắn hạn (5–14 ngày) với dung dịch chứa CHX.
- Không dùng đồng thời với kem đánh răng chứa SLS (Sodium Lauryl Sulfate).
- Tránh nuốt dung dịch, đặc biệt với nồng độ CHX cao.

2. Nhóm chống viêm và làm dịu mô nướu tổn thương
Mục tiêu: Giảm sưng, đỏ, kích ứng và hỗ trợ quá trình hồi phục mô mềm tại chỗ.
Hoạt chất và thành phần hỗ trợ:
- Benzydamine hydrochloride (0,15%) – kháng viêm, giảm đau, chống phù nề tại chỗ.
- Chiết xuất tự nhiên như Aloe vera, Acid tannic, Propolis, Chamomile (cúc La Mã) – giúp làm dịu và hỗ trợ quá trình lành mô mềm.
- Nano bạc (AgNPs) – có đặc tính kháng khuẩn tại chỗ; vai trò trong chăm sóc mô nướu chủ yếu mang tính hỗ trợ và chưa phải là tiêu chuẩn điều trị nha chu.
Ví dụ sản phẩm:
- Tantum Verde (Benzydamine HCl 0,15%) – giảm đau và sưng vùng cổ răng tụt.
- Plasma Kare Mouthwash (Nano bạc Plasma TSN + Acid tannic) – hỗ trợ kháng khuẩn, phục hồi mô lợi.
Lưu ý:
- Dùng được cho người viêm lợi mạn hoặc nướu nhạy cảm.
- Ưu tiên công thức không cồn, pH trung tính (6,5–7,0).
- Nếu kích ứng tăng, nên tạm ngừng và kiểm tra nguyên nhân cơ học (đánh răng sai, bàn chải cứng).

3. Nhóm giảm ê buốt và bảo vệ cổ răng lộ
Mục tiêu: Giảm cảm giác ê buốt khi chân răng bị hở và ngăn tổn thương men răng thứ phát.
Hoạt chất chính:
- Sodium fluoride (NaF 0,05%) – hỗ trợ tái khoáng men và củng cố lớp bảo vệ quanh cổ răng.
- Potassium nitrate hoặc Arginine – làm giảm kích thích thần kinh ống ngà, giảm ê buốt.
- Xylitol và Glycerin – duy trì độ ẩm, giảm ma sát vùng cổ răng.
Ví dụ sản phẩm:
- Vitis Aloe Vera Mouthwash (CPC + Panthenol + Aloe Vera) – làm dịu và hỗ trợ bảo vệ mô mềm quanh cổ răng.
Lưu ý:
- Có thể dùng hằng ngày, lâu dài.
- Tránh dung dịch chứa cồn hoặc menthol đậm đặc (gây khô miệng).

4. Nhóm duy trì và phòng ngừa tái phát tụt lợi
Mục tiêu: Giữ vệ sinh khoang miệng ổn định, góp phần duy trì cân bằng vi sinh khoang miệng và hạn chế mảng bám tái tạo.
Thành phần:
- NaCl 0,9% (nước muối sinh lý) – làm sạch nhẹ, cân bằng pH.
- CPC hoặc Zinc lactate nồng độ thấp – duy trì kiểm soát vi khuẩn.
Ví dụ sản phẩm:
- TheraBreath Fresh Breath Oral Rinse (Sodium Chlorite OXYD-8®) – cân bằng hệ vi sinh, kiểm soát mùi hôi.
- Nước muối sinh lý 0,9% – súc hàng ngày giúp làm sạch cơ học an toàn.
Lưu ý:
- Duy trì 1–2 lần/ngày sau khi đánh răng và chỉ nha khoa.
- Các loại không cồn, pH trung tính có thể dùng lâu dài mà không gây khô nướu.

Cách sử dụng và lưu ý khi chăm sóc răng miệng cho người bị tụt lợi
Chăm sóc răng miệng đúng kỹ thuật đóng vai trò quan trọng trong việc ngăn ngừa tụt lợi tiến triển, duy trì mô nướu khỏe mạnh và giảm nguy cơ mất răng sớm. Người bị tụt lợi cần kết hợp đồng bộ giữa vệ sinh cơ học, sử dụng nước súc miệng thích hợp và điều chỉnh lối sống.
1. Đánh răng đúng kỹ thuật
Lựa chọn bàn chải:
- Dùng bàn chải lông mềm (soft hoặc extra-soft), đầu nhỏ để dễ tiếp cận vùng cổ răng.
- Có thể dùng bàn chải chuyên biệt cho nướu nhạy cảm hoặc bàn chải điện áp lực thấp nếu có kiểm soát được lực chải.
Kỹ thuật chải:
- Áp dụng phương pháp Bass hoặc Modified Bass: đặt bàn chải nghiêng khoảng 45° về phía viền nướu, rung nhẹ bằng chuyển động tròn nhỏ, sau đó kéo nhẹ về phía thân răng để làm sạch mảng bám quanh cổ răng
Không chải răng theo chiều ngang mạnh, vì có thể làm mòn men vùng cổ răng và tổn thương mô nướu. Chải răng ít nhất 2 lần/ngày, sau bữa ăn và trước khi đi ngủ.
2. Kết hợp dụng cụ hỗ trợ làm sạch kẽ răng
- Dùng chỉ nha khoa hằng ngày để loại bỏ mảng bám tại vùng tiếp giáp răng – nướu, nơi bàn chải không tới được.
- Với người có kẽ răng rộng do tụt lợi, nên dùng bàn chải kẽ (interdental brush) hoặc máy tăm nước áp lực nhẹ (water flosser), tránh làm tổn thương thêm mô nướu đang bị tụt hoặc viêm mạn tính.
- Không dùng tăm gỗ hoặc vật nhọn để xỉa răng vì dễ gây viêm hoặc tổn thương lợi.
3. Sử dụng nước súc miệng đúng cách
Tần suất:
- 2–3 lần/ngày, sau khi chải răng và làm sạch kẽ răng.
Cách dùng:
- Lấy khoảng 10–20 ml dung dịch, ngậm trong khoảng 30 giây để súc toàn bộ khoang miệng.
- Tiếp theo, ngửa cổ nhẹ và khò họng (gargle) trong khoảng 30–60 giây để dung dịch tiếp xúc vùng cổ răng và nướu.
- Nhổ bỏ hoàn toàn, không nuốt.
- Không ăn uống hoặc súc lại bằng nước sạch trong vòng 15–30 phút để hoạt chất lưu lại và phát huy tác dụng tối đa.
Lưu ý lựa chọn:
- Dạng không cồn, pH trung tính (6,5–7,0) giúp giảm khô miệng, phù hợp người nướu nhạy cảm.
- Nếu đang dùng nước súc miệng chứa Chlorhexidine (CHX): không nên dùng kéo dài quá 1~2 tuần trừ khi có chỉ định của nha sĩ
- Với trường hợp ê buốt nặng, có thể luân phiên nước súc miệng chứa fluoride hoặc potassium nitrate để bảo vệ cổ răng lộ.

4. Lấy cao răng và thăm khám định kỳ
- Lấy cao răng 6 tháng/lần để loại bỏ mảng bám khoáng hóa dưới viền nướu – nguyên nhân trực tiếp gây viêm và tụt lợi.
- Trong các trường hợp tụt lợi nặng, bác sĩ sẽ đánh giá độ bám dính lợi – chân răng (clinical attachment level) và có thể chỉ định các biện pháp điều trị nha chu phù hợp (như điều trị túi nha chu hoặc can thiệp mô nướu) khi cần thiết
- Việc khám định kỳ cũng giúp phát hiện sớm các túi nha chu, theo dõi độ sâu và tình trạng tiêu xương ổ răng.

5. Chế độ dinh dưỡng và lối sống
- Bổ sung thực phẩm giàu vitamin C, D, E và canxi (như cam, ổi, sữa, trứng, cá hồi, rau xanh) giúp hỗ trợ sức khỏe mô nướu và khả năng hồi phục của mô mềm quanh răng.
- Hạn chế thực phẩm cứng, quá nóng, quá lạnh hoặc có tính acid cao, vì có thể gây kích ứng hoặc mòn ngà vùng cổ răng lộ.
- Tránh hút thuốc lá, rượu bia, cà phê đậm, do làm giảm lưu lượng máu nướu và ức chế hồi phục mô mềm.
- Kiểm soát nghiến răng (bruxism): có thể dùng máng chống nghiến ban đêm theo hướng dẫn nha sĩ để giảm lực tác động lên cổ răng.
6. Một số lưu ý
- Không nuốt dung dịch súc miệng.
- Tránh ăn uống, đánh răng hoặc súc lại bằng nước thường ít nhất 10–30 phút sau khi sử dụng để hoạt chất kháng khuẩn duy trì tác dụng.
- Khi có cảm giác rát, khô hoặc kích ứng, nên tạm ngưng và chuyển sang công thức dịu nhẹ hơn, ưu tiên không cồn, pH trung tính; việc lựa chọn hoạt chất cụ thể nên tham khảo ý kiến nha sĩ.
Một số biện pháp hỗ trợ điều trị tụt lợi đơn giản dễ làm
Các biện pháp tại nhà dưới đây không thay thế điều trị nha khoa chuyên sâu, nhưng có thể hỗ trợ giảm viêm, hạn chế tiến triển tụt lợi và cải thiện sức khỏe nướu khi được thực hiện đúng cách, kết hợp cùng vệ sinh răng miệng khoa học.
1. Súc miệng bằng dung dịch muối sinh lý 0,9%
Cơ sở khoa học:
Nước muối sinh lý có tác dụng làm sạch nhẹ, hỗ trợ giảm phù nề và duy trì môi trường pH trung tính trong khoang miệng.
Nhiều nghiên cứu nha khoa xác nhận súc miệng với NaCl 0,9% giúp giảm chỉ số viêm lợi và giảm chảy máu nướu trong giai đoạn đầu của viêm nha chu.
Cách thực hiện:
- Pha 9 g muối trong 1 lít nước ấm (tương đương nồng độ 0,9%).
- Súc miệng 2–3 lần/ngày, đặc biệt sau khi ăn và trước khi ngủ.
- Không dùng dung dịch quá đặc vì có thể làm khô và kích ứng niêm mạc. Ưu tiên dùng sản phẩm pha sẵn đúng nồng độ.
2. Súc miệng hoặc uống trà xanh (Green tea catechins)
Cơ sở khoa học:
Polyphenol trong trà xanh – đặc biệt là epigallocatechin gallate (EGCG) – có tác dụng ức chế enzyme protease của vi khuẩn Porphyromonas gingivalis và giảm viêm nha chu theo các thử nghiệm in vitro và lâm sàng nhỏ.
Trà xanh cũng giúp trung hòa các gốc tự do, hỗ trợ bảo vệ mô nướu khỏi stress oxy hóa. Tuy nhiên, các bằng chứng hiện tại chủ yếu mang tính hỗ trợ và không thay thế các biện pháp điều trị nha khoa tiêu chuẩn.
Cách sử dụng:
- Pha trà xanh loãng (không quá đặc) để nguội đến ấm (~40 °C).
- Dùng làm nước súc miệng 1–2 lần/ngày hoặc uống 1–2 ly/ngày.
- Tránh thêm đường hoặc chanh (acid làm mòn men răng).

3. Gel hoặc chiết xuất nha đam (Aloe vera)
Cơ sở khoa học:
Chiết xuất Aloe vera chứa anthraquinone, glucomannan và polysaccharide có tác dụng kháng khuẩn, kháng viêm và kích thích nguyên bào sợi (fibroblast) – hỗ trợ quá trình tái tạo mô nướu.
Một số nghiên cứu lâm sàng cho thấy sử dụng gel nha đam tại chỗ giúp giảm chảy máu lợi và sưng viêm khi kết hợp với chải răng thông thường.
Cách sử dụng:
- Ưu tiên sử dụng gel nha đam y tế đã được khử aloin và kiểm soát vô khuẩn. Trường hợp dùng nha đam tươi cần loại bỏ hoàn toàn nhựa vàng và đảm bảo vệ sinh.
- Thoa lớp mỏng lên vùng nướu tổn thương 5–10 phút, sau đó súc miệng sạch.

4. Chiết xuất Propolis (sáp ong tự nhiên)
Cơ sở khoa học:
Propolis chứa flavonoid và axit phenolic có đặc tính kháng khuẩn, chống oxy hóa và kích thích liền thương, được ứng dụng trong nhiều sản phẩm súc miệng điều trị viêm nướu, tụt lợi và loét niêm mạc.
Dung dịch súc miệng chứa propolis cho thấy hiệu quả giảm mảng bám và viêm lợi trong một số nghiên cứu so sánh với CHX nồng độ thấp.
Cách sử dụng:
- Dùng dung dịch hoặc gel chứa Propolis chiết xuất nước (water-based), súc miệng hoặc bôi 2 lần/ngày.
- Không tự pha cồn ngâm sáp ong tại nhà (có thể gây kích ứng niêm mạc).

5. Dầu dừa (Coconut oil pulling – đã được nghiên cứu giới hạn)
Cơ sở khoa học:
Một số nghiên cứu nhỏ chỉ ra rằng “oil pulling” với dầu dừa có thể hỗ trợ giảm mảng bám và vi khuẩn Streptococcus mutans nhờ acid lauric – hoạt chất có tác dụng diệt khuẩn nhẹ.
Tuy nhiên, bằng chứng lâm sàng còn hạn chế và không thể thay thế việc súc miệng bằng dung dịch y khoa.
Cách thực hiện (chỉ nếu niêm mạc khỏe):
- Ngậm 1 muỗng canh dầu dừa nguyên chất trong miệng 5–10 phút (không nuốt).
- Nhổ bỏ, sau đó súc miệng lại bằng nước ấm.
- Không dùng nếu đang viêm lợi cấp hoặc nướu loét.

6. Bổ sung dinh dưỡng hỗ trợ mô nướu
Cơ sở khoa học:
Thiếu vitamin C và D là yếu tố liên quan đến suy giảm collagen nướu và tăng nguy cơ viêm lợi.
Vitamin C thúc đẩy tổng hợp collagen, trong khi vitamin D và canxi hỗ trợ duy trì xương ổ răng.
Khuyến nghị:
- Tăng cường thực phẩm chứa vitamin C (cam, kiwi, ổi, ớt chuông), vitamin D (trứng, cá hồi, ánh nắng sớm), canxi (sữa, hạnh nhân).
- Tránh lạm dụng viên uống bổ sung nếu không có chỉ định, đặc biệt vitamin C liều cao có thể làm tăng nguy cơ kích ứng hoặc mòn men răng nếu dùng kéo dài.
Lưu ý: Các biện pháp trên chỉ mang tính hỗ trợ chăm sóc tại nhà, không thay thế điều trị nha khoa và cần được áp dụng đúng cách, phù hợp từng tình trạng nướu.

Giải đáp thắc mắc thường gặp (FAQ)
1. Tụt lợi có thể tự hồi phục không?
Không, trong đa số trường hợp.
Khi mô nướu đã tụt phần nướu mất đi không thể tự mọc lại vì cấu trúc collagen và dây chằng quanh răng đã bị tổn thương.
Tuy nhiên, tụt lợi mức độ nhẹ có thể ổn định và ngăn tiến triển nặng thêm nếu kiểm soát tốt mảng bám, điều trị viêm nướu, và duy trì vệ sinh đúng cách.
Trường hợp tụt lợi nặng có thể cần ghép nướu tự thân (connective tissue graft) hoặc tái tạo mô có hướng dẫn (GTR) tại nha khoa.
2. Nước súc miệng có thể làm nướu mọc lại không?
Không.
Nước súc miệng không có khả năng tái sinh mô nướu. Trong thực hành chăm sóc răng miệng, nước súc miệng có thể giúp:
- Giảm viêm và vi khuẩn quanh cổ răng.
- Giúp vùng nướu tụt ổn định, hạn chế sưng đau và chảy máu.
- Bảo vệ răng khỏi ê buốt và mòn cổ răng.
Do đó, nước súc miệng chỉ mang vai trò hỗ trợ bảo tồn mô còn lại, không phải biện pháp điều trị phục hồi cấu trúc.
3. Tụt lợi có thể do di truyền không?
Có.
Một số người có cấu trúc mô nướu mỏng hoặc xương ổ răng mảnh bẩm sinh, khiến nướu dễ tụt dù vệ sinh tốt.
Trong các trường hợp này, người bệnh nên được theo dõi định kỳ, kết hợp nước súc miệng không cồn, pH trung tính, và tránh lực chải mạnh.
4. Có thể dùng các biện pháp dân gian (mật ong, tỏi, dầu mè) để chữa tụt lợi không?
Không khuyến khích.
Dù một số chất có đặc tính kháng khuẩn tự nhiên, việc thoa trực tiếp mật ong, tỏi hoặc tinh dầu nguyên chất lên nướu có thể gây bỏng niêm mạc, kích ứng hoặc bội nhiễm.
Các biện pháp này chưa có chứng cứ lâm sàng rõ ràng, chỉ nên sử dụng những phương pháp đã được nghiên cứu như nha đam, propolis, nước muối sinh lý hoặc trà xanh ở vai trò hỗ trợ chăm sóc, với nồng độ phù hợp và vệ sinh đúng cách.
6. Khi nào người bị tụt lợi cần gặp bác sĩ?
Cần thăm khám chuyên khoa Răng – Hàm – Mặt khi có:
- Nướu sưng đỏ, chảy máu tự phát hoặc đau khi chải răng.
- Ê buốt, lộ chân răng, răng trông dài hơn.
- Hôi miệng kéo dài, kẽ răng rộng hoặc giắt thức ăn thường xuyên.
- Răng lung lay, tụt lợi lan rộng hoặc có mủ.
Tại nha khoa, bác sĩ có thể thực hiện:
- Cạo vôi – xử lý gốc răng
- Điều trị nha chu chuyên sâu
- Phẫu thuật ghép nướu trong trường hợp tụt lợi nặng.

Tụt lợi là dấu hiệu cho thấy mô nâng đỡ răng đã bị tổn thương, không thể tự hồi phục nếu không can thiệp đúng cách. Việc giữ vệ sinh răng miệng khoa học, sử dụng nước súc miệng trị viêm lợi phù hợp với vai trò kháng khuẩn phù hợp, loại bỏ yếu tố cơ học gây hại, và tái khám định kỳ là bốn nguyên tắc nền tảng giúp kiểm soát bệnh tiến triển.
Các biện pháp hỗ trợ tại nhà như súc miệng bằng dung dịch muối sinh lý, nha đam, trà xanh hoặc propolis có thể giúp giảm viêm nhẹ, nhưng chỉ có giá trị bổ trợ, không thay thế điều trị nha khoa. Bài viết mang tính chất thông tin y học phổ cập, được tổng hợp từ các tài liệu chuyên ngành nha khoa và các nghiên cứu lâm sàng quốc tế. Nội dung không thay thế cho chẩn đoán, kê đơn hoặc điều trị của bác sĩ chuyên khoa.
Xem thêm các nội dung khác:
- Nước súc miệng diệt khuẩn là gì? Vai trò & giới hạn sử dụng
- Nước súc miệng trị viêm nướu – Vai trò hỗ trợ

Frequently Asked Questions
Có câu hỏi khác?
Truy cập trang FAQ tại đây